| 診療時間 | 月 | 火 | 水 | 木 | 金 | 土 | 日 | 祝 |
|---|---|---|---|---|---|---|---|---|
| 9:30 - 12:30 | / | 〇 | 〇 | 〇 | 〇 | 〇 | / | / |
| 14:00 - 17:00 | / | 〇 | 〇 | 〇 | 〇 | 〇 | / | / |
【休診日】月曜日・日曜日・祝日
ドクター出勤日
| 出勤日 | 月 | 火 | 水 | 木 | 金 | 土 | 日 | 祝 |
|---|---|---|---|---|---|---|---|---|
| 前田 | / | ● | ● | ● | ● | ● | / | / |
| 藤川 | / | / | / | / | ● | ● | / | / |
| 石川 | / | ● | ● | ● | ● | / | / | / |
| 根治専門医 今井(月3回) |
/ | ● | / | / | / | / | / | / |
| 根治専門医 新本 |
/ | / | / | ● | / | / | / | / |
| 根治専門医 三枝 |
/ | / | / | / | / | ● | / | / |
| 矯正 手嶋(月1回) |
/ | / | / | / | ● | / | / | / |
| 歯科衛生士 | / | ● | ● | ● | ● | ● | / | / |
閉じる
コンテンツ

むし歯は時間とともにどんどん悪化します。歯の表面のかたいエナメル質からさらに奥の象牙質がおかされるとむし歯の進行がはやまります。そしてその奥の歯の神経に達してしまうと痛みが増します。以前はこの状態にまで悪化すると抜歯が選択されていましたが、現在は「根管(こんかん)治療」を行うことで、歯を残すことができるようになってきています。むし歯をさらに悪化させて抜歯にならないように、歯の違和感に気づいたらできるだけ早く町田市原町田の歯医者「前田歯科医院」にご相談ください。

「根管治療をしたはずなのに痛い」「何度も根管治療を繰り返している」というかたは、根管治療が正しく行われていない可能性があります。
根管は多岐に分かれ人によって形状がさまざまです。肉眼ではその全体の把握が困難で、手の感覚と歯科医の経験での治療となってしまいます。感染箇所の取り残しや処置できるはずの根管の見逃しがある可能性があり、根尖性歯周炎の再発に繋がります。
また、お口の中には無数の細菌が存在しているので、被せ物に少しでも隙間があると歯の中に侵入されてしまいます。
前田歯科医院では、マイクロスコープやラバーダムの使用で、精度の高い根管治療を行っております。

口腔内にはさまざまな細菌が存在し、根管治療中に唾液を介して内部に入ってしまうと、再発のリスクは50%まで高まると言われています。このリスクを回避するために、当院では、根管治療など神経の治療時には「ラバーダム」というゴムシートを使用しております。ラバーダムを装着すれば、再発のリスクは10%以下まで下げることができます。また、治療中(特に奥歯の治療)は舌や頬が邪魔になり、治療がしにくい場合がありますが、ラバーダムを装着することで歯だけを露出させることができ、根管治療の精度を高めることから、ラバーダムは根管治療では必須器具となります。

口腔内は暗く狭い上に、根管は小さく細かく深いので肉眼で奥まで確認することは不可能です。精度の高い根管治療を行うために、前田歯科医院では専門医からの評価が高いドイツのカールツァイス社製のマイクロスコープを導入しております。
一万円札を根管治療で使用するマイクロスコープで表示した際の画像です。このようにはっきりと見えるので、多岐に分かれ細かい根管治療にも正確に対応することが出来ます。








根管治療を行う際に使用する器具は清潔さが重要です。前田歯科医院では、可能なものはすべてディスポーザブル製品を使用し、ディスポーザブルが使用できない機器に関しては、ディスインフェクターによる洗浄・消毒を行った後、滅菌バックに入れ、オートクレーブで滅菌を行い清潔に保っています。滅菌機器にはヨーロッパ規格でもっとも滅菌効果が高いクラスBのオートクレーブを使用しております。
根管治療は特殊な治療で、専門知識と経験が多く求められます。前田歯科医院では大切な歯をできる限り残すために、優れた機器・設備を使用して精度の高い根管治療を行っています。診察から治療、経過観察まで安心してお任せください。
前田歯科医院が提供する歯内療法は下記の4つに分けられます。
歯科医師(根管治療専門医)
今井 照雄(いまい てるお)

| 1998年 | 北海道大学歯学部卒業 |
|---|---|
| 2001~2003年 | 歯内療法専門医のもとに師事 |
| 2003~2009年 | 一般開業医のもとで根管治療専門医として勤務 2000本以上の治療実績を持つ |
| 2009年 | 医療法人社団 全至善會 歯内療法チーフドクター(主任)就任 |
| 2005年 | スウェーデン王立イエテボリ大学歯内療法学教室 サマーセミナー修了 |
|---|---|
| 2013年 | 日本歯内療法学専門医取得 |
| 2013年 | 歯周病検査装置に関する特許出願(特願2013-234232) |

根管とは歯の中の神経が入っている細い管のことです。根管治療はむし歯が歯の奥深く神経まで達した場合や、以前の治療での取り残しや不完全な封鎖により、細菌が繁殖し歯の根の先が膿んでしまう状態に対して行われる治療です。
どんなにきれいに被せ物をしても、土台となる歯の根の治療がしっかりとされていなければ再発し、治療のやり直しや最悪の場合は抜歯をしなくてはなりません。
歯を長く残すためには、土台となる歯の根の精密な治療が大切です。
|

日本の歯科治療の中で、根管治療はほかの先進国と比べて最もレベルが低いと言われています。
根管治療は大きく分けて3つのパターンがあり、初めて神経を取る「抜髄治療」、細菌に再び感染してしまい再治療を行う「再根管治療」、再根管治療で完治しなかった根の先の病変を直接治療する「外科治療」があります。
アメリカなどの歯科先進国では90%成功すると言われている「抜髄治療」の日本での成功率は50%程度と言われています。
ここまで差が出てしまうのには2つの理由があります。
| 理由1:根管治療を専門的に行う歯科医師が少ない | 理由2:根管の中は細くて暗く、人によって違うので治療が難しい |
|---|---|
| 実は歯科でも、医科が内科・外科などの診療科目で分かれているのと同じようにさまざまな分野があります。海外の先進国はそれぞれに専門医がおり、チームを組み自分の専門領域に特化するのがスタンダードです。 逆に日本では、ほとんどの治療を1人で行うので、すべての処置を覚える必要があり一つの分野に特化することが非常に困難です。 根管治療にはかなりの修練を積まなくては技術が身につかず、歯科医師のスキルと経験が成功率に大きく影響します。専門的に根管治療を行う歯科医のいない日本では、成功率は上がりづらいです。 |
根管の本数や形状は人によってさまざまです。その上、細くて暗いので肉眼で治療する場合は手探りになってしまい、細菌を取り残すことが非常に多いです。マイクロスコープで拡大治療を受けることで、拡大し明るい環境での治療が可能となり、細菌の取り残しを防ぐことができます。 |

根管治療を行う際は自費診療をおすすめしています。保険診療と自費診療の違いは、マイクロスコープ・ラバーダムの使用が可能か否かです。高い精度が求められる根管治療では、マイクロスコープやラバーダムの使用で、成功率は格段に上がります。
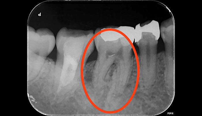
治療前
治療後
| 主訴 | 虫歯を治したい |
|---|---|
| 治療期間 | 1回 |
| 費用 | 再根管治療132,000円(税込)+ ファイバーコア44,000円(税込)= 176,000円(税込) |
| 治療内容 | ラバーダムを用いて無菌的な環境下で再治療(過去に根管治療をしている歯の治療)を行いました。 過去に詰めた修復物の周りが虫歯になってしまっていたため、マイクロスコープ下で虫歯を完全に取り切り、 NiTiファイルを用いた根管形成、薬液や超音波器具による洗浄、体に馴染みの良い材質による充填、被せ物を支え、再感染しないように土台を立てました。 |
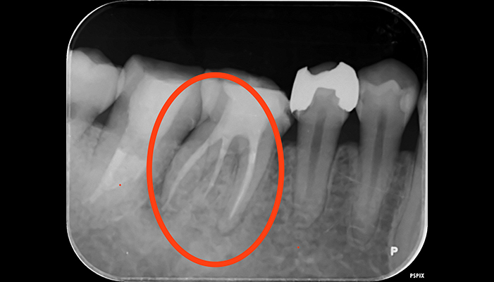
治療前
治療後
| 主訴 | 虫歯がある。根の管が細すぎて見当たらない。 |
|---|---|
| 治療期間 | 1回 |
| 費用 | 再根管治療132,000円(税込)+ ファイバーコア44,000円(税込)= 176,000円(税込) |
| 治療内容 | ラバーダムを用いて無菌的な環境下で根管治療を行いました。 マイクロスコープ下で虫歯を完全に取り切り、根の管の細さが0.06mm程度になっていたため慎重にNiTiファイルを用いて根管形成を行い、 薬液や超音波器具による洗浄、体に馴染みの良い材質による充填、被せ物を支え、再感染しないように土台を立てました。 |
治療前
治療後
| 主訴 | 歯茎が腫れている |
|---|---|
| 治療期間 | 2回 |
| 費用 | 再根管治療154,000円(税込)+ ファイバーコア44,000円(税込)= 198,000円(税込) |
| 治療内容 | ラバーダムを用いて無菌的な環境下で根管治療を行いました。 マイクロスコープ下で虫歯を完全に取り切り、NiTiファイルを用いた根管形成、薬液や超音波器具による洗浄、その後根管内をさらに消毒するため水酸化カルシウムを入れて仮の蓋をしました。 2回目は体に馴染みの良い材質による充填、被せ物を支え、再感染しないように土台を立てました。 |
※治療費とは別に診察料が毎回5,500円(税込)が別途かかります
※クラウン ¥110,000~¥385,000 が別途かかります
| 根管治療CT撮影(必要に応じて撮影を行います) | 14,300円(税込) |
|---|---|
| 生活歯髄療法 | 66,000円(税込) |
| 抜髄(前歯) | 110,000円(税込) |
| 抜髄(小臼歯) | 132,000円(税込) |
| 抜髄(大臼歯) | 154,000円(税込) |
| 再根管治療(前歯) | 132,000円(税込) |
| 再根管治療(小臼歯) | 154,000円(税込) |
| 再根管治療(大臼歯) | 187,000円(税込) |
| ファイバーコア | 44,000円(税込) |
| CR | 44,000円(税込) |
| 外科的歯内療法(前歯) | 143,000円(税込) |
| 外科的歯内療法(小臼歯) | 165,000円(税込) |
| 外科的歯内療法(大臼歯) | 198,000円(税込) |
| 穿孔修理 | 38,500円(税込) |
| 根管内異物除去 | 38,500円(税込) |
前田歯科医院では下記のお支払い方法をご利用いただけます。詳しくは当院の受付スタッフにお尋ねください。
「新型コロナウイルスが心配で歯医者に行けないかた」も「歯医者が苦手で行けないかた」も、
安心してご来院頂ける体制を整えております。
新規の患者様もLINEからお問い合わせください。
重度のむし歯でも歯を
諦めないでください
できるだけお早めに
ご相談ください
ご予約はこちらからどうぞ
〒194-0013 東京都町田市原町田6-26-11 岡本ビル2F
| 出勤日 | 月 | 火 | 水 | 木 | 金 | 土 | 日 | 祝 |
|---|---|---|---|---|---|---|---|---|
| 前田 | / | ● | ● | ● | ● | ● | / | / |
| 藤川 | / | / | / | / | ● | ● | / | / |
| 石川 | / | ● | ● | ● | ● | / | / | / |
| 根治専門医 今井(月3回) |
/ | ● | / | / | / | / | / | / |
| 根治専門医 新本 |
/ | / | / | ● | / | / | / | / |
| 根治専門医 三枝 |
/ | / | / | / | / | ● | / | / |
| 矯正 手嶋(月1回) |
/ | / | / | / | ● | / | / | / |
| 歯科衛生士 | / | ● | ● | ● | ● | ● | / | / |